Volume 1 Issue 1 - 2020


Perspective

“Brain Functions Best Respecting The Earth”---COSMIC DEI--”IN GOD WE TRUST”...WHY BELIEF IS NECESSARY TODAY...

Samuel A. Nigro*

The promulgation of “In God We Trust” began in the 1950s and it has become used more and more used recently, which I attribute to the spreading scientific understanding of the earth as statistically impossible without being created by a Loving God.

Continue reading
Review article

Health Issues of Complicacy among Relationships

Abdul Kader Mohiuddin*

On Valentine’s Day, the sight of couples holding hands and hugging each-other might unleash a wave of jealousy in those who are single. However, there might not be much to be jealous about.

Continue reading
Case Report

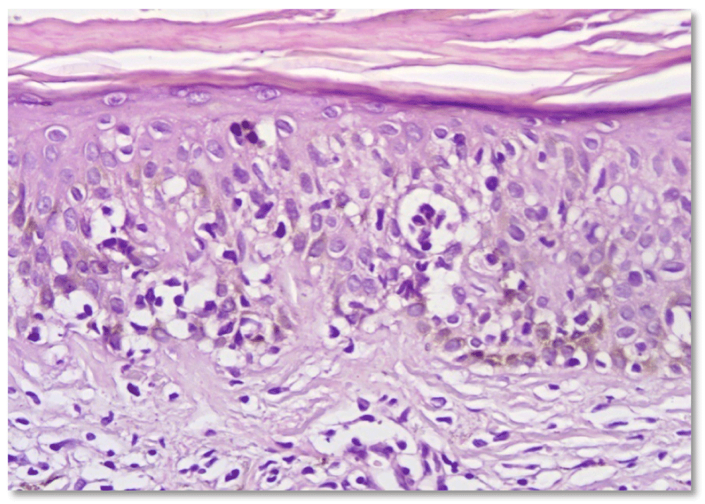
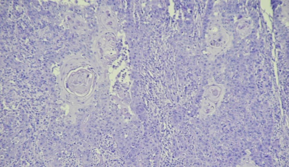
Ichthyosiform mycosis fungoides: An atypical variant of cutaneous T-cell lymphoma : About a case and literature review

Elharrouni Alaoui Aicha*, Elloudi Sara, Douhi Zakia, Baybay Hanane and Mernissi Fz

Acquired ichthyosis is a known paraneoplastic sign of lymphoproliferative malignancies, with histopathologic findings that are nonspecific, revealing no insinuation of the underlying neoplasm.

Continue reading
Case Report

“Little angel battling for life”: A case report of Ewing sarcoma

Sheetal Mujoo1, Megha Gupta2, Alok Dubey3* and Imran Khalid4

Ewing’s sarcoma (ES) is a rare malignant tumor that primarily affects the skeleton system in children and young adults. The most common symptoms are pain and swelling in the affected area. History of trauma is often reported. Clinical, radiographic, histologic and immunohistochemical investigations are necessary for the diagnosis of this disease.

Continue reading
Case Report

Anti-bacterial vaccine activities of Zn, ZnONPs and Zn2+ -induced activated peptidoglycan autolysins against Gram-positive and Gram negative Bacteria

Tsuneo Ishida*

Firstly, against Gram-positive bacteria, adsoption of Zn2+ ions to the bacterial cell surface increases cell wall cohesion and favors the projection of elongated SasG away from the cell surface. Zinc importer adcABC of the primary group A streptococcus (GAS) zinc uptake system is composed of a cell surface-exposed zinc-binding protein (adcA), an inner membrane permease (AdcB), and a cytosolic ATPase (AdcC) that provides the energy for zinc import by ATP hydrolysis

Continue reading
Case Report

Marjolin’s ulcer developed on chronic radiodermatitis:A case report

El harrouni Alaoui A*, Elloudi S, Mrabat S, Douhi Z, Baybay H, Mernissi FZ

Marjolin’s ulcers are scar carcinomas most often arising in old burn injuries. They arise mostly in the extremities. We report a case of Marjolin ulcer type is a Poorly differentiated squamous cell carcinoma, developed on chronic radiodermatitis postauricular, of a 58-year-old male patient treated 7 years before for carcinoma of the parotid with radiotherapy.

Continue reading