Volume 1 Issue 1 - 2020


Editorial

Interpreting Stupidity

James F. Welles*

In a positive vein, we may derive some psychosocial benefits from the arbitrary and subjective ways we misinterpret our behavior

Continue reading
Case Report

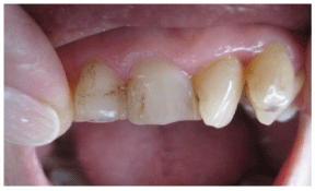
Art of Compositing

Carlson Ronald

Dentistry today offers many modes of tooth correction in position, shape, alignment, and shades. Some of us offer orthodontia, implants, and full tooth reduction crowns. Materials vary but center around porcelain or porcelain modified materials made of silica or zirconia to metal.

Continue reading
Case Report

A case on multiorgan echinococcal involvement in Tibet and its reflection

Siwei Chen1, Haiqiang Jin1, Yu Hao2, Yuhua Zhao2, Chunyu Liu3, Feiqi Zhu4 and Yongan Sun1*

Echinococcosis, or hydatidosis, is a chronic zoonosis caused by adult or larval stages of tapeworms (cestodes) belonging to the genus Echinococcus. Because of the special geographic environment and lifestyle in Tibet, the incidence of the echinococcosis is prettyhigh there. This essay is to introduce a typical case on multiorgan echinococcal involvement including liver, lung and brain in Tibet and some reflection from this case.

Continue reading
Review article

Health Issues of Complicacy among Relationships

Abdul Kader Mohiuddin*

On Valentine’s Day, seeing couples clasping hands and embracing each-other may release a flood of envy in the individuals who are single. In any case, there probably won’t be a lot to be desirous about. Likewise, conjugal quality unmistakably hues one’s general feeling of prosperity, and conjugal pain lifts wellbeing dangers, says a main clinical brain science diary.

Continue reading
Case report

Abdominal Eventration of an Epiploic Appendix: An Unusual Presentation

Gallego Rodríguez P*, Guillen-Astete C, Vaello Jodra V, Campos Ferrer M.C, Romio de las Heras E and Penedo Alonso R

An 83-year-old woman, with no previous abdominal surgical history, presented to the emergency department of our hospital due to a mass of tissue that pierced the abdominal wall from the inside and protruded several centimetres outward. According to the patient, in the place of the exit of the abdominal contents, the previous days, thinning of the thickness of the skin and intestinal movements were noticed.

Continue reading
Case report

Neurogenic Pulmonary Edema: (TIA complicated with Acute Pulmonary Edema)

Getaw Worku Hassen1*, MD, PhD, Dennis Brown2, MD,Golnar Pashmforoosh1, MD, Frosso Adamakos1, MD, Tracy Barry1, DO, Rajnish Jaiswal1, MD, Leidy Gonzalez1, MD, Roger Chirurgi1 and Hossein Kalantari1

Neurogenic pulmonary edema (NPE) is a rare clinical entity that is seen in the setting of epileptic seizure, head injury and cerebral hemorrhage. NPE in the setting of transient ischemic attack (TIA) has not been reported before.

Continue reading