Volume 1 Issue 4 - 2020


Case Report

Ichthyosis Follicularis with Alopecia and Photophobia Syndrome (IFAP): A Case Report and Review of the Literature

Elharrouni Alaoui Aicha*, Baybay Hanane, Douhi Zakia, Elloudi Sara, and Mernissi FZ

IFAP syndromeis a rare autosomal recessive X-linked disease characterized by the triad of alopecia universalis, severe photophobia, and follicular ichthyosis. It is caused by loss of function of the gene MBTPS2. Its severity varies and there are only a few reports in the literature. We present a patient with characteristic clinical features.

Continue reading
Case Report

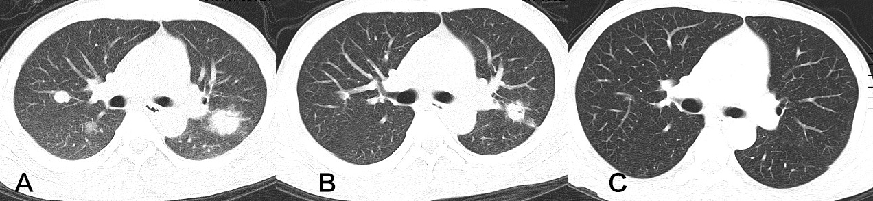
Voriconazole-Related Myopathy in a Liver Failure Patient: A Case Report

Min Jiang1,2, Sujuan Wang1,2, Miao Yan3,4, and Min Zhang1,2*

Voriconazole (VRC) is a broad-spectrum triazole antifungal drug and first-line choice for invasive pulmonary aspergillus (IPA) even in patients with liver failure. But it is limited when used in these individuals due to hepatoxicity and supratherapeutic trough plasma concentrations that could lead to severe adverse events appear or aggravate.

Continue reading
Case Report

Kleine Levine syndrome (Sleeping beauty): A case report from Saudi Arabia

Wadha Alotaibi, MD1 and Gawahir Mukhtar, MD2*

Background: Kleine – Levin syndrome (KLS), also called “Sleeping beauty syndrome” is a rare sleep disorder characterized by recurrent episodes of hypersomnia, hyperphagia, cognitive disturbances, and hypersexuality.

Continue reading
Case Report

Chronic Pancreatitis-Induced Colonic Obstruction Mimicking a Stenosing Neoplasm at the Proximal Descending Colon: Treatment by Diverting Colostomy and Serial Pancreatic Duct Stenting

Ying Lun Wei, M.D and Kevin A. Wang*

Large bowel obstruction mimicking colon cancer is a rare complication of acute or chronic pancreatitis. We present a case of a 42-year-old male patient with chronic alcoholic pancreatitis presenting with abdominal distension for two months...

Continue reading
Case Report

Immunotherapy in Endocrine Responsive Metastatic Breast Cancer

Tabane K MD1* and Vorobiof D, MD2

Immunotherapy has shown great benefit in multiple tumour types like melanoma and lung cancer. Although breast cancer was previously not considered an immunogenic disease...

Continue reading

Case Report

Brachial Plexus Schwannoma: Case Report

S.Touihmi*1 , H.Mimouni1 and I.Rkain2

Schwannomas, also known as neurinomas are benign, solitary nerve sheath neoplasm. When they occur in the head and neck, in 25–45 % ofcases,they usually develop in cranial nerves and the sympathetic chain with relative...

Continue reading