Volume 1 Issue 2 - 2020


Case report

A Case of K2-Abuse with Hyperthermia and Cardiac Arrest in an Elderly Patient

Tracy Barry, Frosso Adamakos, MD, Golnar Pashmforoosh, MD, Shterna Seligson, PAC, Leidy Johanna Gonzalez, MD, Rajnish Jaiswal, MD, Ronal Shaw, MD, Hossein Kalantari, and Getaw Worku Hassen*

Synthetic Cannabinoid Receptor Agonists (SCRAs) are a group of products created using plant products sprayed with chemical agents that act on cannabinoid (CB) receptors.

Continue reading
Case report

A Case of Scombroid Poisoning From Tilapia

Mark Pappadakis, DO, Getaw Worku Hassen*, Julia Blanter, Salma Asous, Roger Chirurgi, MD, Anthony Almeida, DO, Jean- Paul Menoscal,MD, Golnar Pashmforoosh, MD, Frosso Adamakos, MD, Tracy Barry, DO, Rajnish Jaiswal, MD, Leidy Gonzalez, MD and Hossein Kalantari, MD, MPH

Scombroid poisoning is a syndrome of histamine toxicity. It was first described in 1799 [1]. Scombroidpoisoning occurs after ingestion of contaminated oily fish that is not properly refrigerated.

Continue reading
Clinical Image

Multiple Carpometacarpal Joint Dislocation; a clinical image

Seyyed-Mohammad Qoreishi1, Hossein Mohebi2 and Seyyed-Mohsen Hosseininejad2,3

Traumatic fracture dislocations of second to fifth carpometacarpal (CMC) joints is a rare injury making up less than 1% of hand injuries [1]. Notifying the joint disruption could be difficult due to swelling and overlapping of bones.

Continue reading
Case report

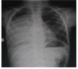
Giantmediastinalganglio neuroma in a female child

Yasser A.El Sayed1*, Moh.Fathy2, Moh.Salem3, Alaa Eisa4, Ashraf Enait5, Kerolos Emad6, Bothinah A.Al Haseeb7, Mona Atef8

We report an eight year female patient admitted to the department of pediatrics at Abbasia Pulmonary Hospital at Cairo, Egypt. The child was complaining of pain on the right lower chest and upper abdome.

Continue reading
Case report

“And, when you want something, all the universe conspires in helping you achieve it” Paulo Coelho, The Alchemist

Getaw worku*

Electrocardiogram (ECG) is instrumental in identifying acutemyocardial infarction (AMI). ST segment elevation in a region of specificcoronary vessels in the setting of acute coronary syndrome (ACS) is the hallmark of AMI. Reciprocal ST depression and T wave inversion (TWI) are well-recognized changes that could accompany ST segment elevations.

Continue reading
Research Article

Cardiac arrest and volumetric overload shocks (VOS) complicating fluid therapy

Ahmed N. Ghanem. MD, FRCS*

Question: May cardiac arrest affect TURP patients?How may fluid resuscitation induce VOS and what is its link with the G tube?

Continue reading