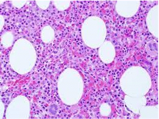
T cell large granular lymphocytic leukaemia is a chronic, T cell lymphoproliferative disorder which characteristically demonstrates a clonal proliferation of mature, cytotoxic T cells. Additionally designated as T cell large granular lymphocytosis or T cell lymphoproliferative disease of granular lymphocytes, T cell large granular lymphocytic leukaemia is associated with diverse autoimmune disorders. Generally, neoplastic CD8+ T lymphocytes appear immune reactive to NK cell immune markers...

Continue reading