Volume 1 Issue 3 - 2020


Case Report

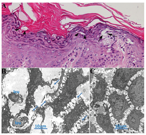
Novel ATP2A2 Gene Mutation c.118G>A Causing Keratinocyte and Cardiomyocyte Disconnection in Darier Disease

Andrea Frustaci, MD1,2*, Alessandro de Luca, PhD3, Romina Verardo, BSB2, Claudia Grande, BSB2, Valentina Guida, PhD3, Maria Alfarano, MD1, Francesco Petrizzelli, PhD4, Tommaso Biagini, PhD4, Camilla Calvieri, MD1, Matteo Antonio Russo, MD2,5 and Cristina Chimenti, MD, PhD1,2

Objective: Darier disease (DD) is an autosomal dominant disorder due to mutation of ATP2A2 gene causing an isolated skin manifestation based on keratinocyte disconnection and apoptosis...

Continue reading
Case Report

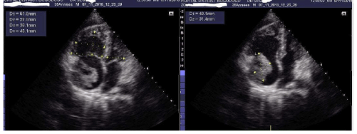
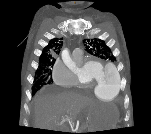
Delayed Rupture of Left Ventricular Aneurysm with Resultant Coexisting Pseudoaneurysm

Shwe Yee Oo1, Adel Ekladious2* and Yee Phyo Hein2

A 60 year old gentleman was transferred to a regional hospital following an admission for non-ST elevation myocardial infarction (NSTEMI) complicated by true left ventricular apical aneurysm and pyopericardium...

Continue reading
Review Article

Cardiac Arrest in STEMI-Like Aortic Dissection and in STEMI-Like Pulmonary Embolism

Oscar Jolobe MRCP(UK)*

This is a review of clinical characteristics in 25 dissecting aortic aneurysm patients and 26 pulmonary embolism patients with the association of cardiac arrest and an electrocardiogram simulating ST elevation myocardial infarction (STEMI)...

Continue reading
Research Article

Takotsubo Syndrome - A New Algorithm with Insights in Susceptibility, Evolution, and Aftermath

John Pantazopoulos MD* and Stavros Zinonos, PhD

Background: Takotsubo syndrome [TTS] at presentation, raises significant questions of differential diagnosis...

Continue reading
Research Article

Pulmonary Embolism Associated With Thrombi of the Right Heart: What Appropriate Care? Clinical Case and Literature Review

Taryètba A. Arthur Seghda1*, Miguel A.M Lopez1, Théodore Boro2, Issa Sawadogo1, Aminata Niakara3, Saidou Dimzouré1, Georges R.C Millogo4, Nobila V Yaméogo4, Elodie Sib5, André Samadoulougou1 and Patrice Zabsonré4

Pulmonary embolism associated with right heart thrombi mainly in the atrium, raise therapeutic dilemmas. Their relative rarity does not allow the development of a consensus recommendation for standardized treatment...

Continue reading
Research Article

Relationship between Patient Understanding and Compliance with Rheumatic Heart Disease Prevention Programs in American Samoa

Jennifer H. Huang MD1*, Callia Elkhal MD2, Ipuniuesea Eliapo-Unutoa3, Laurie R. Armsby MD4 and Erin J. Madriago MD5

Objective: While mostly eradicated in developed nations, rheumatic heart disease (RHD), is still the leading cause of preventable cardiovascular disease in children...

Continue reading