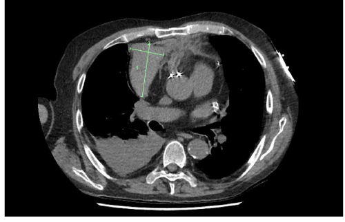
Mediastinal haemorrhage caused by rupture of a saphenous vein coronary artery bypass graft (CABG) is a potentially life-threatening complication following the grafting procedure...
Continue reading
Mediastinal haemorrhage caused by rupture of a saphenous vein coronary artery bypass graft (CABG) is a potentially life-threatening complication following the grafting procedure...
Continue reading