Download PDF

ES Journal of Cardiology

ISSN: 2768-0533

Schwannoma of the Thoracic Esophagus

  • Case Report

  • Li Poa MD*, Edward Ranzenbach, PA-C, David Chung, MD, Chirag Patel, MD and Michelle Min, NP
  • Department of Cardiothoracic Surgery, USA
  • *Corresponding author: Li Poa, MD, FACS, Director of Cardiothoracic Surgery, 20911 Earl Street #245, Torrance, CA 90503
  • Received: Jan 15, 2020; Accepted: Feb 03, 2020; Published: Feb 08, 2020
  • Copyright: 2020 © Li Poa MD. This is an open-access article distributed under the terms of the Creative Commons Attribution License, which permits unrestricted use, distribution, and reproduction in any medium, provided the original author and source are credited.

Abstract

A rare tumor, esophageal schwannoma, was first described by Chaterlin and Fissore in 1967. These tumors are commonly found incidentally in patients presenting with symptoms of GERD, dysphagia, or dyspnea with the first evidence being an abnormal chest radiograph. Histologically the tissue presents as bundles of bland spindle cells with elongated nuclei without evidence of mitotic activity that typically appears in palisade arrangements. Stains S100 and SOX-10 are positive and STAT6 is negative. Axons are missing on neurofilament stains. Histologically, Antoni A tissue demonstrates this palisading cellular arrangement and associated Verocay bodies reflecting prominence of an extracellular matrix and secretion of laminin. Antoni B tissue is more loosely organized and most likely reflects degenerated Antoni A tissue. The presence of these histological markers is indicative of a Schwannoma tumor that is amenable to excision without need of adjunctive therapy as these tumors are rarely malignant.We present the case of a 46 year old Caucasian female whose tumor was incidentally discovered during workup for surgical laminectomy.

Keywords

Esophageal Schwannoma, Schwannoma, Esophageal Tumor, Esophagus, S100, SOX-10, STAT6

Case Report

The patient is a 46 year old Caucasian female who first presented to her Primary Care Provider for workup in anticipation of laminectomy. The patient has a history of chronic back pain, obesity, long term tobacco use, and obstructive sleep apnea. Complaints of GERD, and dysphagia during her pre-op exam, combined with abnormal findings of a rounded massin the right mediastinum on chest radiograph, prompted additional workup with CT scan. This demonstrated a 3.0 by 2.7 cm mass within the esophageal lumen approximately 10.2 cm distal to the pharynx. The CT scan was negative for surrounding mediastinal lymphadenopathy. The patient underwent esophago gastroduodenoscopy with fine needle biopsy of the tumor and the sample showed very faint DOG-1 focal staining. S100 also showed weak staining and the sample was negative for CD117, pan-cytokeratin, actin, desmin, and melan-A. Although this initial biopsy was inconclusive, the results did not support carcinoma, melanoma, or a smooth muscle malignancy. A decision was made to proceed with excision.

The patient was brought to the operating theater and the tumor, measuring 5.3 x 4.4 x 2.6 cm and weighing 27.4 grams was excised using thoracotomy (Figure 1). Lymph nodes excised during the surgery were negative for metastasis. An adherent 1.6 x 0.7 x 0.4 fragment of the esophagus was also resected as part of the procedure and the esophagus was primarily repaired. The patient was kept NPO for five days before restarting a clear liquid diet. The patient was discharged home and has been seen for follow-up and is recovering well.

Schwannoma of the Thoracic Esophagus

Figure 1: Excised Tumor.

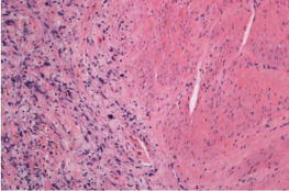
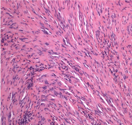
Final histologic sections of the excised esophageal mass show a submucosal proliferation of spindle cells with elongated nuclei with bland nuclear features (Figure 2 and 3). There are numerous admixed reactive lymphoid follicles. Focally, there is a suggestion of Verocay body formation (Figure 4). Antoni A and B tissue types are also visible in these sections. Immunohistochemical stains demonstrate that these spindle cells stain with S100 (Figure 5) and SOX-10. Stains for CD34, CD117, Actin, AE1/ AE3, Desmin, and DOG-1 are negative within the spindle cells.The negative reactivity for CD34 and CD117 rules out a gastrointestinal stromal tumor (GIST) and negativity for Actin and Desmin stains distinguishes the tumor from the more common leiomyoma. A stain for STAT6 is negative and a stain for neurofilament does not highlight axon within the lesion. Overall these findings are diagnostic for Schwannoma. There are no features to suggest malignancy.

Schwannoma of the Thoracic Esophagus

Figure 2: Antoni A & Antoni B Tissues

Schwannoma of the Thoracic Esophagus

Figure 3: Antoni A & Antoni B Tissues.

Schwannoma of the Thoracic Esophagus

Figure 4: Verocay Body.

Schwannoma of the Thoracic Esophagus

Figure 5: S100 Staining.

Discussion

Esophageal schwannoma is a rare tumorand is even more rarely malignant. A search of the literature reveals approximately 30 cases with only 4 neoplasms among those reported. Additionally, only two of these rare tumors have been reported to demonstrate lymph node metastasis [1].

This patient is only 46 years old, younger than the typical presentation, and is female, a significantly predominant selector. She is also Caucasian, with one study reporting 64%of these tumors were found in the Asian population [2]. These tumors typically present in the 5th to 6th decade in life with the youngest reported case in a 22 year old Asian male [3].

Although dysphagia and dyspnea (caused by compression of the esophagus and trachea, respectively) are frequent symptoms of this, and other esophageal tumors, symptoms such as chest pain, stridor, hematemesis, and cough have also been reported.

Radiologically, these tumors are indistinguishable from other, more malignant esophageal tumors and diagnosis must be made histologically. As described above, these tumors will demonstrate haphazardly arranged bundles of bland spindle cells with elongated nuclei and axons missing on neurofilament stains and the tumor will lack signs of necrosis or mitotic activity. Histologically, Antoni A tissue demonstrates this palisading cellular arrangement and associated Verocay bodies reflecting prominence of an extracellular matrix and secretion of laminin. Antoni B tissue is more loosely organized and most likely reflects degenerated Antoni A tissue [4].

Stains S100 and SOX-10 will be positive and other classic markers such as CD34 and CD1117 must be negative. STAT6 immunohistochemistry, a reliable surrogate for detection of the NAB2-STAT6 fusion gene seen in solitary fibrous tumors, must also be negative. Negative markers for smooth muscle (Actin, Desmin) and negative melan-A will differentiate the tumor from the more common leiomyoma, and melanoma, respectively [5].

Chemotherapy and radiation are ineffective for schwannomas and surgical enucleation is the only treatment. Video-assisted thoracoscopic excision is recommended for tumors less than 2 cm in size [6], although one study used a VATS approach where the mean tumor size was 3 cm [7-9]. Larger tumors typically require esophagectomy with esophago-gastrostomy. In this case only a small portion of the tumor was adherent to the esophagus and primary excision and repair was possible.

References

  1. Chatelin CL, Fissore A. Schwanome degenere de l’esophage. Confront Radio Anat Clin 1967;7:114
  2. Biswajit M, Kumble SM, Ragini K, et al. Maglinant schwannoma of the esophagus: a rare case report. Korean J Thorac Cardiovasc Surg 2016;49:63-66
  3. Kassis ES, Bansal S, Perrino C, et al. Giant asymptomatic primary esophageal schwannoma. Ann Thorac Surg2012;93:e81–3
  4. Choo SS, Smith M, Cimino-Mathews A, Yang SC. An early presenting esophageal schwannoma. Gastroenterol Res Pract2011;2011:165120.
  5. Rajiv J. Learning from eponyms: Jose Cerocay and Verocay bodies, Antoni A and B areas, Nils Antoni and schwannomas. Indian Dermatol Online J 2012 Sep-Dec;3(3):215-219
  6. Kitada M, Matsuda Y, Hayashi S, et al. Esophageal schwannoma: a case report. World J Surg Oncol 2013;11:253
  7. Park BJ, Carrasquillo J, Bains MS, et al. Giant benign esophageal schwannoma requiring esophagectomy, Ann Thorac Surg 2006;82:340-2
  8. Davis EA, Heitmiller RF. Esophagectomy for benign disease: trends in surgical results and management. Ann Thorac Surg 1996;62:369-72
  9. Dutta R, Kumar A, Jindal T, et al. Concurrent benign schwannoma of the oesophagus and posterior mediastinum. Interact Cardiovasc Thorac Surg 2009;9:1032-4